Bladder Cancer

Bladder Cancer

Bladder cancer is a relatively rare form of cancer that starts in the lining of your bladder. Your bladder is a small hollow organ that holds your urine. Healthcare providers have many ways to treat bladder cancer, including surgery to remove bladder cancer.

Bladder cancer may come back after treatment, so people with bladder cancer should be vigilant about following up with their healthcare providers.

Urologists can treat early-stage bladder cancer (superficial bladder cancer) — cancer that’s found and treated before it can spread — but about 75% of early-stage bladder cancers recur.

Your bladder is a triangle-shaped organ that’s located in the pelvis leading to the urethra.  Urine from your kidneys drains into your bladder, which is lined with tissue called urothelium. Urothelium is made of cells that stretch when your bladder fills with urine and collapses when it’s empty. Your bladder can hold about 250-300 ml of urine.

Bladder cancer happens when certain cells in the tissue lining your bladder mutate or change, becoming abnormal cells that multiply and cause tumors in your bladder. Left untreated, bladder cancer may grow through your bladder walls to nearby lymph nodes and then other areas of your body, including your bones, lungs or liver.

Bladder Cancer
 

Types of Bladder Cancer

There are three types of bladder cancer. Each type is named for the cells that line the wall of your bladder where the cancer started. Bladder cancer types include:

  • Transitional cell carcinoma: This cancer starts in transitional cells in the inner lining of your bladder wall. About 90% of all bladder cancers are transitional. In this cancer type, abnormal cells spread from the inner lining to other layers deep in your bladder or through your bladder wall into fatty tissues that surround your bladder. This bladder cancer type is also known as urothelial bladder cancer.
  • Squamous cell carcinoma: Squamous cells are thin, flat cells that line the inside of your bladder. This bladder cancer accounts for about 5% of bladder cancers and typically develops in people who’ve had long bouts of irritation/infection.
  • Adenocarcinoma: Adenocarcinoma cancers are cancers in the glands that line your organs, including your bladder. This is a very rare type of bladder cancer, accounting for 1% to 2% of all bladder cancers.

Urologists may also categorize bladder cancer as being superficial non-muscle-invasive cancer or muscle-invasive cancer.

  • Non-muscle-invasive: This refers to bladder cancer that’s moved deeper into your bladder but hasn’t spread to muscle.
  • Muscle-invasive: This bladder cancer has grown into bladder wall muscle and may have spread into the fatty layers or tissues on organs outside of your bladder. This is a more serious form of disease.

What Causes Bladder Cancer

Healthcare providers and researchers don’t know exactly why certain bladder cells mutate and become cancerous cells. They’ve identified many different risk factors that may increase your chance of developing bladder cancer, including:

  • Cigarette smoke: Smoking cigarettes more than doubles your risk of developing bladder cancer. Smoking pipes and cigars and being exposed to second-hand smoke may also increase your risk.
  • Radiation exposure: Radiation therapy to treat cancer may increase your risk of developing bladder cancer.
  • Chemotherapy: Certain chemotherapy drugs may increase your risk.
  • Exposure to certain chemicals: Studies show that people who work with certain chemicals used in dyes, rubber, leather, paint, some textiles and hairdressing supplies may have an increased risk.
  • Frequent bladder infections: People who have frequent bladder infections, bladder stones or other urinary tract infections may be at an increased risk of squamous cell carcinoma.
  • Chronic catheter use: People who have a chronic need for a catheter in their bladder may be at risk for squamous cell carcinoma.

How do Healthcare Providers Diagnose Bladder Cancer?

  • Urinalysis: Providers use a variety of tests to analyse your urine. In this case, they may do urinalysis to rule out infection.
  • Cytology: Providers examine cells under a microscope for signs of cancer.
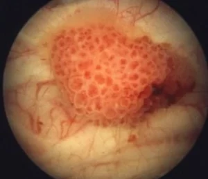
  • Cystoscopy: This is the primary test to identify and diagnose bladder cancer. For this test, providers use a pencil-sized lighted tube called a cystoscope to view the inside of your bladder and urethra. They may use a fluorescent dye and a special blue light that makes it easier to see cancer in your bladder. Providers may also take tissue samples while doing cystoscopies.

If urinalysis, cytology and cystoscopy results show you have bladder cancer, healthcare providers then do tests to learn more about the cancer, including:

  • Transurethral resection of bladder tumor (TURBT): Providers do this procedure to remove bladder tumors for additional tests. TURBT procedures may also be a treatment, removing bladder tumors before the tumors can invade your bladder’s muscle wall. This test is an outpatient procedure done under spinal or general anesthesia.

Surgery:

Surgery is a common bladder cancer treatment. Providers chose surgical options based on the cancer stage. For example, many times, TURBT, the procedure used to diagnose bladder cancer, can treat bladder cancer that hasn’t spread. Healthcare providers either remove the tumor or use high-energy electricity to burn it away with a process known as fulguration.

Radical cystectomy is another treatment option. This surgery removes your bladder and surrounding organs. It’s done when people have cancer that’s spread outside of their bladder or there are several early-stage tumors throughout their bladder.

In men, this surgery removes the bladder, prostates and seminal vesicles. In women, providers may remove ovaries, the uterus and part of the vagina. Providers also do surgery known as urinary diversion so people can still pass urine.

Providers may follow surgery with chemotherapy or radiation therapy to kill any cancer cells surgery may have missed. This is adjuvant therapy.

Chemotherapy:

These are cancer-killing drugs. Providers may use intravesical therapy to deliver chemotherapy drugs directly to your bladder via a tube inserted into your urethra. Intravesical therapy targets cancer without damaging healthy tissue.

Immunotherapy:

Immunotherapy is a treatment that uses your immune system to attack cancer cells. There are different types of immunotherapy:

  • Bacillus Calmette-Guérin (BCG): This is a vaccine that helps boost your immune system.
  • PD-1 and PD-L1 inhibitor therapy: PD-1 and PD-L1 are proteins found on certain cells. PD-1 is on the surface of T-cells that help regulate your body’s immune responses. PD-L1 is a protein found on the surface of some cancer cells. When these two proteins connect, the connection keeps T-cells from killing cancer cells. In inhibitor therapy, the two proteins can’t connect, leaving the way clear for T-cells to kill cancer cells.

Radiation therapy:

Radiation therapy may be an alternative to surgery. Healthcare providers may combine radiation therapy with TURBT and chemotherapy. This treatment is an alternative to bladder removal surgery. Healthcare providers consider factors such as tumour growth and tumour characteristics before recommending this treatment.

Follow us on FacebookInstagram and LinkedIn for more. Also find out more about Urological Conditions here.